오늘 스케일링을 하고왔습니다.
그래서 갑자기 궁금해진 스케일링 의료보험
그리고 스케일링 가격 , 스케일링 후 주의사항등등이 궁금해졌습니다.
가격은 다 똑같은가?! 아무튼 궁금한건 역시나 찾아봐야하니깐 정리해봅니다.

치석제거 보험은 2017년 7월1일부터 만19세이면 적용받을 수 있게변했습니다.
매년 1월1일부터 12월31일 사이에 한번만 건강보험이 적용됩니다!

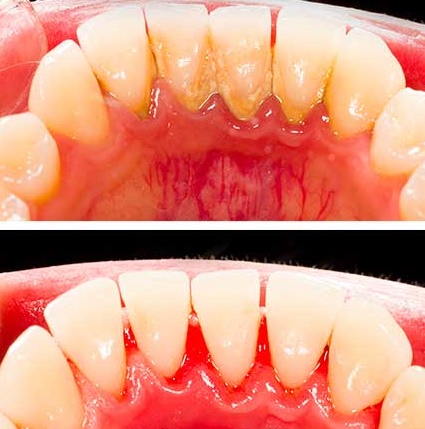
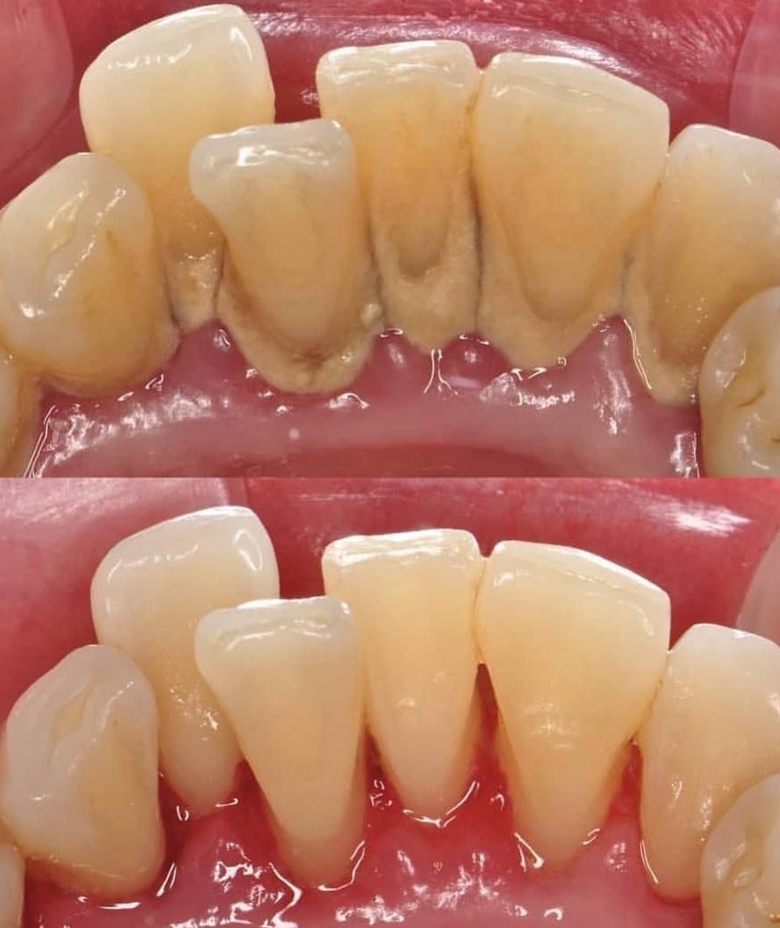
스케일링이란 무엇일까?
치아와 치아 사이에 붙어있는 치석을 제거하는 것입니다.
치석은 음식물 찌꺼기 및 세균등이 플라그가 되어 굳어서 치아 사이에 끼인것이기때문에
충치가 생기는 이유이며 치아에 달라붙어 양치로는 제거하기가 힘들기에
스케일링을하여 치아의 건강을 지켜주며 구취제거에도 효과가 있습니다.
스케일링 후 주의사항


스케일링을하고나면 이가 시리다고 느껴지거나 치석을 뺀 자리에 음식물이 끼일 수 있습니다.
스케일링을 하지않으면 않을수록 치석이 많이 끼이고 크게 끼이기에 치석을 제거한 틈이 더 클 수 밖에없고
더큰 음식물들이 박힐 것 입니다.
그러나 이런것은 일시적은 현상이라 걱정하실 필요는 없습니다.
그러나 탄산음료나 색소가 들어간 음식 , 너무 뜨거운 음식 , 너무 차가운 음식은 치아색 및 잇몸에 무리가 가기에
안드시는게 좋습니다.

스케일링 주기
1년에 한번 보험이 가능하기에 1년에 한번하는 분들이 많지만
치과에서는 1년에 2회는 해라고 추천을 해주고있습니다
그치만 보험을 받아야하기에 저는 1년에 한번만 할 것 같긴합니다.
자신의 치열 및 치아의 상태가 좋지않다면 보험이 안되더라도 1년에 두번은 하시는걸 추천드립니다.

스케일링 의료보험 없는 가격

1년에 두번씩할려면 의료보험 없이 해야하기에 큰돈을 내야합니다.
보통 보험이 적용되면 15,000원 - 20,000원 선이고
보험이 안될때는 50,000 - 65,000원 사이라고합니다.
치과마다 조금씩 차이는 있을 수 있습니다.
스케일링의 아픔


혹시라도 한번도 하지않고 이 글을 보시는 분이있다면 너무 걱정하실필요는 없습니다.
다만 자신이 담배를 무지하게 많이피는데 나이가 30을 넘는데 처음한다면 조금 아플 수 있습니다.
오래될수록 치석이 많이 쌓일수록 아픈데 담배를 피는 사람들이 비흡연자보다 치석이 더 많고
더 단단하다고 하더라구요.
피가 조금 날 수 있습니다만 참지 못할 정도의 고통은 아니기때문에 꼭 한번 가보시길 바랍니다.


스케일링 후 치아가 좀 더 깔끔한 느낌이나고 건강해보이는 효과가 있습니다.
거기다가 스케일링 의료보험까지 적용됐기에 저는 엑스레이 찰영까지해서 2만원을 썼네요
지금은 치아 사이사이에 홈이 생긴곳에 혀를 넣으며 시간을 보내고있습니다
다들 겁먹지마시고 치아건강을위해서 꼭 하세요!
'알쓸신잡' 카테고리의 다른 글
| 성명준 프로필 엄태웅이랑 한다이뜨나 (0) | 2022.09.06 |
|---|---|
| 이명 원인 , 치료방법 알아봅시다 (0) | 2022.09.05 |
| 상생소비복권 이벤트 영수증복권 당첨고고 (0) | 2022.09.01 |
| 김신영 전국노래자랑 MC 발탁 (0) | 2022.08.30 |
| 소상공인 새출발기금 어떻게 신청하지 (0) | 2022.08.29 |
댓글